EDC Mechanical Pencil: Empowering Analysts in Data Reporting December 17, 2025 by Lily James … Read More
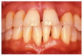
Severity of Periodontal Disease and the Role of Expert Dentists in Rolla December 17, 2025 by Lily James … Read More
Luxury Home Wallpaper: New Design Ideas to Elevate Your Home in California January 2, 2026December 16, 2025 by Lily James … Read More
How to Handle Motorcycle Accident Injuries in South Carolina December 16, 2025 by Lily James … Read More